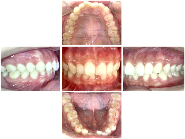
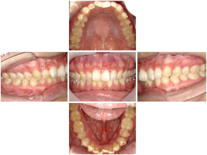
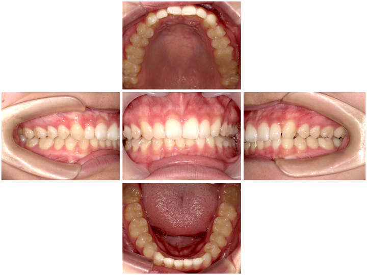
こちらでは、実際に当院の歯科衛生士がインビザラインを使った治療を受けている経過をご紹介しております。

本日1枚目のマウスピースを受け取りました。
いよいよインビザライン矯正のスタートです。
本当にマウスピースだけで私の歯並びが良くなるのか期待と不安で一杯ですが、
きちんと1日22時間装着することを守り頑張っていきたいと思います。

本日3枚目のマウスピースを受け取るタイミングで歯の表面にアタッチメント(白い突起物)をボンドで付けてもらいました。
これは歯を一切削らずに付け、矯正が終わったら外す物でして、色も白いため見た目で困ることはありません。
アタッチメントが設置されるとマウスピースを外しづらくなるので、ちょっとコツが必要です。
患者さんの気持ちがよくわかりましたので、今後はさらに患者さんへ丁寧にそのコツをお伝えしようと思います。

本日6枚目のマウスピース。
最初のうちは奥歯を後ろに移動させ前歯の並ぶスペースを作る動きになるため、前歯に変化はありません。
奥歯と奥歯の間に隙間ができたため食べ物がちょっと挟まりやすくなりました。
でも歯が確実に動いている実感があります。

本日12枚目のマウスピースを受け取りました。
相変わらず前歯に動きはありませんが、2か月前に比べ手前の歯の間に隙間ができるようになってきました。
いよいよ前歯が変化し始めると思うとワクワクした気持ちになります。

本日19枚目のマウスピースを受け取りました。
患者さんがマウスピース矯正を始める際に「痛みはどのくらいありますか?」と質問をされますが、
実際私が矯正をやってみた感想としては、痛みはほとんどなく歯を押されている感覚があるくらいです。
一般的にワイヤー矯正に比べて痛みは1/5程度しかないと言われていますので、
みなさん安心してマウスピース矯正を始めて頂けられると嬉しいです。

本日25枚目のマウスピースを受け取りました。
ついに前歯の間に隙間ができてきました。これから前歯が綺麗に並んでいくのが楽しみです。
相変わらず痛みはほとんどありません。
ワイヤー矯正に比べて、歯を磨くときにマウスピースを外せるのでとても楽だなと改めて思います。

本日31枚目のマウスピースを受け取りました。
上下の前歯が少しずつ動いてきています。
鏡で自分の歯を見てみても明らかな変化を感じられるようになってきて、さらにやる気が出てきます。
今年1年を振り返ると歯列矯正を頑張った1年だったなとしみじみ思いにふけました。

本日34枚目のマウスピース。
前回から一か月ちょっと、さらに前歯が動いてきました。
お正月に実家に帰り、親戚とおせち料理を食べ、お酒を飲んだので22時間の装着を守ることができるかヒヤヒヤでした。
でもなんとか「一日22時間装着」というルールを守ることができ、一安心です。
親戚と1年ぶりに会ってマウスピースを装着したまましゃべっていたのですが、誰も気づいてくれませんでした(涙)。

本日40枚目のマウスピース。
下の前歯のガタツキがかなり治ってきました。
歯磨きをした際に歯ブラシの先端がしっかりと歯面に当たるようになり、フロスも通しやすくなったのが嬉しいです。

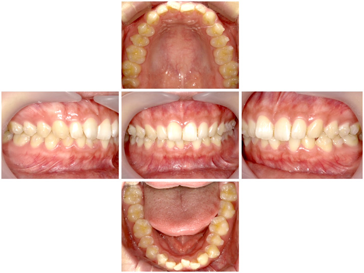
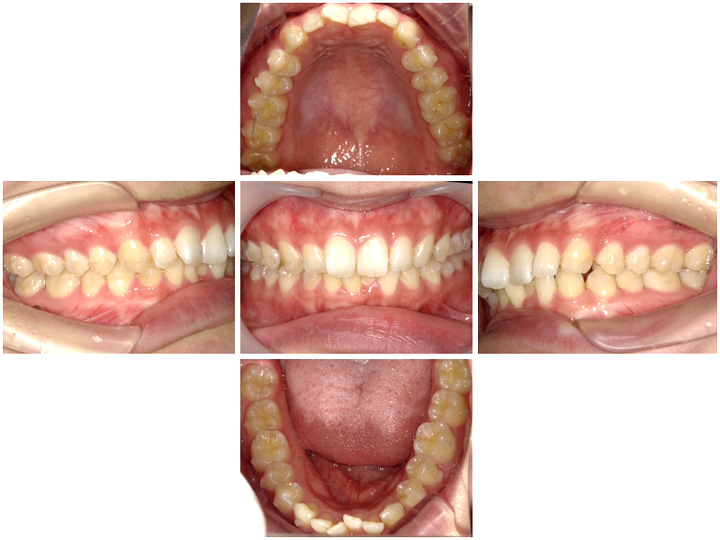
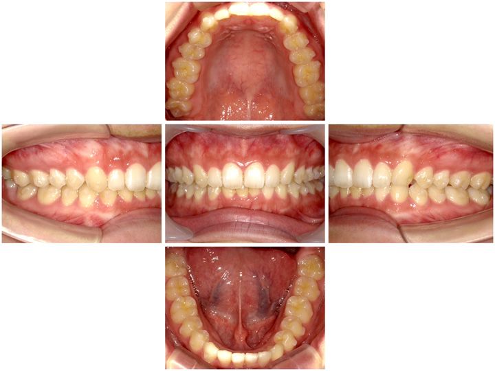
本日46枚目のマウスピース。
下の前歯が綺麗に並びました。
クリンチェックを確認し理想通りの位置に歯が並んでいたので、
改めて「マウスピース矯正ってすごいな」って衛生士ながら感動しました。
あとは上の前歯の捻転が治るまでもう少しマウスピース矯正を頑張ります。

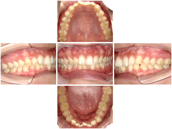
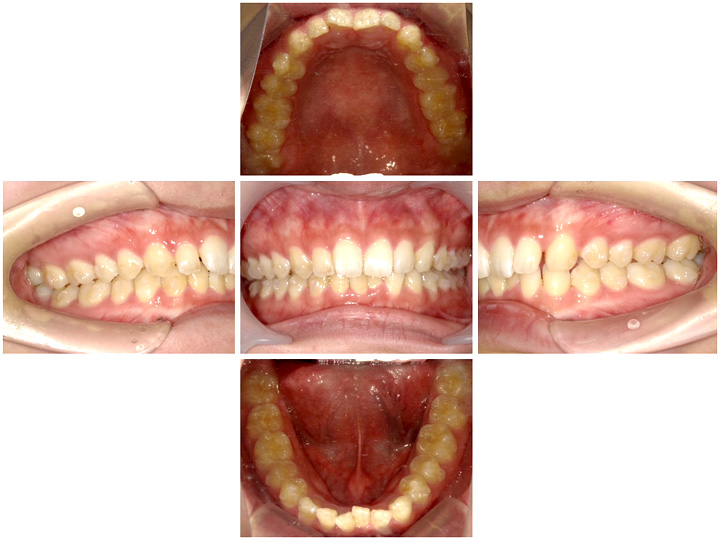
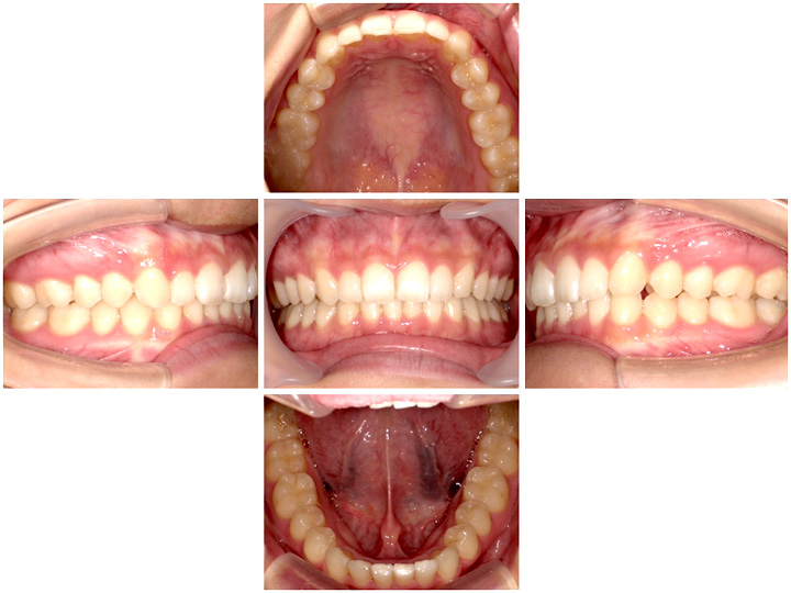
本日48枚目のマウスピース。
上の前歯の捻転もきれいに治り、自分の理想通りの歯並びを手に入れることができました。
あとは細かい歯並びの微調整と、奥歯をもう少しきっちりかみ合わせたいのでそのためにマウスピース矯正をも少しだけ続けます。

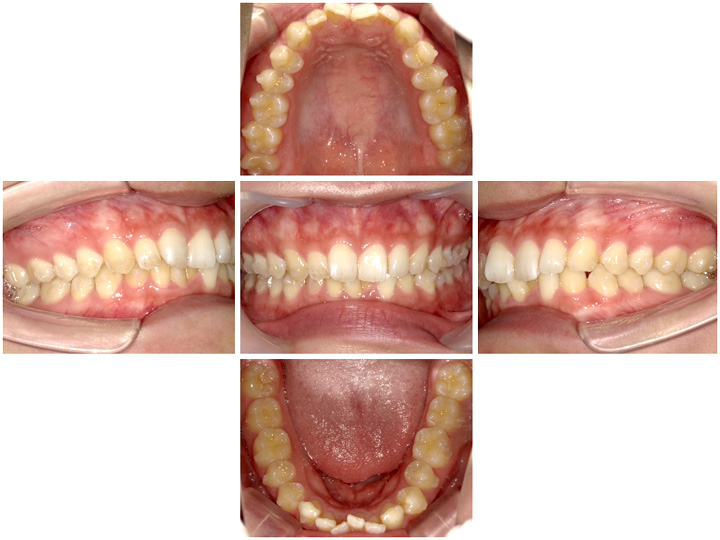
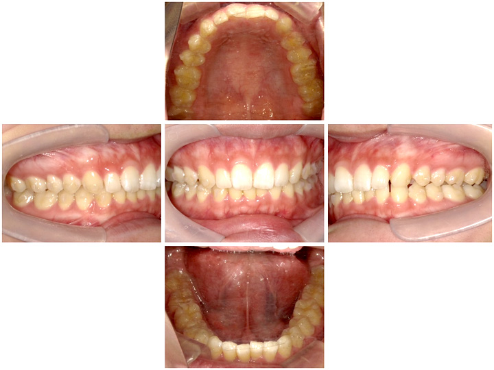
本日54枚目のマウスピースを使い切り晴れて歯列矯正が終了。
マウスピース矯正を始めてから約1年6か月、長かったような短かったような
歯列矯正生活が終わりを迎えました。
自分が実際マウスピース矯正をやってみて感じたことは、
1:痛みがほとんどなかった事。
2:歯磨きがマウスピースを外してできるので、本当に楽だったこと。
もちろん、矯正後に虫歯になった歯は1本もありませんでした。(みなさんもきちんと歯磨きしましょう。歯磨き指導は私に任せてくださいね!)
3:意外とマウスピースをしたままで飲み物が飲めたこと。
糖分が入っている飲み物は虫歯になりやすいと先生から聞いていたので水かお茶だけにしていました。
友人と飲み会に参加したときはマウスピースを外して食事をし、
食事が終わったら口をゆすいだ後、マウスピースを装着、そして甘くない飲み物を飲んでいました。
このような生活を1年6か月続けると痩せるかな〜なんてひそかに期待していたのですが、体重は全く変わりませんでした(涙)。
4:何人かの友達に「顔変わった?」と聞かれ自分でもびっくりしています。
決して整形をしたわけではありません(汗)
でも前歯の歯並びが良くなった事で、口もとが少し内側に引っ込んだ気がします。
中々となりましたが、自分が1年半インビザラインを行って思った事や、その過程の不安な気持ちを綴ってみました。
インビザライン矯正をするかどうか迷っている方の少しでも参考になれば幸いです。
当院では毎日、無料歯並び相談を受け付けていますので、どんな些細なことでも遠慮なくご相談くださいね!